Dental Crowns or “caps” as some call them, are custom-made covers for teeth that have had a root canal treatment, cracked or weakened teeth or teeth that are so decayed that a regular filling isn’t sufficient.
Generally, we use a porcelain material to make the crown because it blends best with your other teeth. It takes two appointments to fit a crown.

At the first appointment, we prepare the tooth by making it small enough for the crown to fit over it. Next, we mold an impression of the tooth so that the crown fits between the teeth on either side of it and is basically the same size and shape as the one being capped. At the end of this visit, we attach a temporary crown to protect the tooth until the permanent crown is ready.
At the second visit, we cement the permanent crown and make sure that it feels comfortable and natural and that your bite is correct. That’s it!
How long does it last?
Your crown should last a lifetime with proper oral hygiene and routine dental examinations and cleanings.
Want to Know More?
Again, there are many options for enhancing and restoring your teeth in today’s dental environment. The one way to know for sure is consult us to discuss your concerns and explore all available options. We’re standing by, just waiting for your call!
Dental Bridge
Do you have a gap in your mouth due to a missing tooth? Does it make you self-conscious because others can see it when you smile? What if you could get it fixed? Wouldn’t that be a tremendous confidence booster?

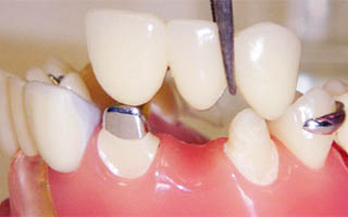
The teeth next to the missing tooth also have to be prepared for insertion of a bridge. Well you can! We may have the perfect solution for you in a fixed dental bridge. Give us a call and we’ll be happy to schedule an appointment for you so the doctor can take a look at that space and recommend treatment options.
What is a Dental Bridge?
A dental bridge is made up of two crowns on either side of the missing tooth connected to an artificial tooth in the middle. These three “teeth” form the “bridge” that is matched to the color of your teeth and then cemented into place to provide a permanent solution to your missing tooth dilemma!
What’s the Procedure?
First, the doctor has to examine your mouth and the areas around the missing tooth to determine whether a dental bridge is appropriate for your situation. If you are a good candidate for a bridge, the teeth that are on either side of the missing tooth will be prepped for crowns.
An impression is taken so that the bridge will fit exactly into the space and blend perfectly with your existing teeth. The first visit ends with the insertion of a temporary bridge to protect the area until the permanent bridge is ready.
At your next and final visit, the permanent bridge is cemented into place and you’re all set! If you take care to practice good oral hygiene and maintain your proper dental cleaning and examination schedule, your new bridge should last for a good many years, providing you with a winning smile and a gigantic confidence boost!